Neurological Examination for MS Explained

How Neurologists Perform a Comprehensive Neurological Examination for MS

Have you ever felt overwhelmed by the intricacies of a neurological examination? For those managing multiple sclerosis, understanding this process is vital. Let's uncover what you can learn about navigating your health journey effectively.

What You Will Learn

  • The neurological examination is essential for assessing neurological function and identifying abnormalities related to multiple sclerosis (MS).
  • Open communication about your symptoms and health history is crucial; it guides the examination and informs your treatment plan.
  • Understanding the specific components of the examination, such as mental status assessments and motor evaluations, can help alleviate anxiety.
  • Preparing for your examination with notes on symptoms and questions can enhance your engagement and comfort during the appointment.
  • Familiarity with diagnostic tools like MRI and evoked potentials empowers you to better understand your condition and treatment options.
  • The McDonald criteria provide a framework for diagnosing MS, emphasizing the importance of symptom patterns and diagnostic imaging.
  • Addressing concerns and misconceptions about the examination process is key to feeling informed and empowered.
  • Following up with your neurologist by asking pertinent questions about your diagnosis and treatment plan promotes proactive health management.

Neurological Examination Process for MS: Key Stages & Diagnostic Tools

The comprehensive neurological examination for Multiple Sclerosis involves a structured approach, combining patient history, physical assessments, and advanced diagnostic tools. This visual representation outlines the core components and their integration, leading to a clearer diagnosis.

Initial Assessment: Patient History & Preparation

  • Symptom Discussion
  • Family History
  • Medication Review
  • Patient Concerns
Stage 1

Core Neurological Exam: Physical Evaluations

  • Mental Status
  • Cranial Nerve Check
  • Motor & Sensory Skills
  • Gait & Balance
Stage 2

Diagnostic Tools: Advanced Imaging & Tests

  • MRI Scans
  • Evoked Potentials
  • CSF Analysis
  • Nerve Conduction
Stage 3

Diagnosis & Next Steps: McDonald Criteria & Care

  • McDonald Criteria
  • Lesion Analysis
  • Follow-up Planning
  • Treatment Options
Stage 4

Understanding the Comprehensive Neurological Examination for Multiple Sclerosis

When it comes to managing multiple sclerosis (MS), understanding the neurological examination can make all the difference. This examination serves as a foundational step in diagnosing MS and helps neurologists like myself assess your overall neurological health. In this section, I’ll guide you through what to expect during your examination and how it can provide valuable insights into your condition.

What to Expect During Your Neurological Examination

The neurological examination is not just a routine check-up; it's a thorough process designed to understand your symptoms and how they affect your daily life. You might wonder what happens during this exam. Typically, we start with a detailed discussion about your health history. This includes any symptoms you've noticed, the duration of those symptoms, and any family history of neurological disorders.

Initial Patient History: Key Questions to Discuss

  • What symptoms are you experiencing?
  • When did these symptoms begin?
  • Do you have any family history of neurological conditions?
  • Have you noticed any changes in your daily activities?

These questions are crucial as they help me understand not only your medical background but also your personal experience with MS. Being open and detailed in your responses can significantly impact your diagnosis and treatment plan.

Preparing for the Exam: Tips for Patients

Preparation can ease any anxiety you might feel about the examination. Here are a few tips I recommend:

  • Write down your symptoms and concerns to discuss during your appointment.
  • Bring a list of medications you’re currently taking.
  • Consider having a family member or friend accompany you for support.

Being prepared not only helps you feel more at ease but also ensures we make the most of our time together. Remember, your comfort and clarity are essential for a successful examination!

Breaking Down the Components of the Neurological Exam

Understanding the components of the neurological exam can help demystify the process. Each part of the exam is designed to evaluate different aspects of your neurological health. Let's break down these components:

Mental Status Assessment: Evaluating Cognitive Function

During this assessment, I’ll ask you questions to evaluate your cognitive function. This may include tasks like memory testing or problem-solving exercises. Understanding your cognitive health is essential, as MS can sometimes affect mental processes.

Examining Cranial Nerves: What Neurologists Look For

The cranial nerve exam involves checking the function of the nerves responsible for your senses and motor functions. This includes your vision, hearing, and facial movements. Any irregularities can provide insights into how MS may be affecting your body.

Motor, Sensory, and Reflex Evaluations: Understanding the Basics

In this part of the exam, I’ll assess your muscle strength, coordination, and reflex responses. For instance, I might ask you to move your limbs against resistance or check your reflexes with a small hammer. These evaluations help identify any weakness or sensory changes.

Assessing Gait and Balance: Key Indicators of Neurological Health

Your ability to walk and maintain balance is a critical part of the exam. I’ll observe your gait and may ask you to perform simple movements to see how well you maintain your balance. Changes in these areas can indicate how MS is impacting your mobility.

Coordination Tests: Important Measures of Neurological Function

Coordination tests assess how well your brain communicates with your muscles. You may be asked to touch your finger to your nose or perform rapid alternating movements. These tasks help me evaluate the fine motor skills that are often affected in MS.

Integrating Diagnostic Tools in the Examination Process

As part of the neurological examination, I may also use various diagnostic tools to enhance our understanding of your condition. These tools can provide crucial information about the presence and extent of MS.

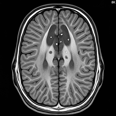
Role of MRI in MS Diagnosis: What Images Reveal

An MRI scan is a key diagnostic tool for MS. It provides detailed images of your brain and spinal cord, highlighting any lesions or abnormalities that may indicate MS. Understanding these images can help us make informed decisions about your treatment.

Detailed MRI scan of the human brain with highlighted lesions, indicating Multiple Sclerosis

Understanding Evoked Potentials: Testing Nerve Responses and Visual Evoked Potentials

Evoked potentials measure how quickly and effectively your nerves respond to stimuli. This test can help identify any disruptions in neural pathways, providing further evidence of MS.

CSF Analysis: The Importance of Lumbar Puncture in MS

A lumbar puncture, or spinal tap, allows us to analyze cerebrospinal fluid (CSF) for markers associated with MS. This test can be an essential part of confirming a diagnosis and understanding your condition.

Nerve Conduction Studies: Assessing Neural Function

Nerve conduction studies help measure the speed of electrical signals through your nerves. This evaluation is particularly useful in identifying nerve damage that may be caused by MS.

Applying the McDonald Criteria: Diagnosis Made Clear

As we proceed with your examination and testing, we’ll apply the McDonald criteria, which helps clarify the diagnosis of MS. This method considers various factors, including the presence of lesions, symptoms, and diagnostic test results. This framework is essential for neurologists to make accurate diagnoses, as highlighted by organizations like the European Committee for Treatment and Research in Multiple Sclerosis (ECTRIMS).

Dissemination in Space and Time: What It Means for MS Diagnosis

The McDonald criteria emphasizes the importance of plaques appearing in different areas of the nervous system and at various times. This is crucial for establishing the diagnosis of MS, as detailed by the National Multiple Sclerosis Society's updated diagnostic criteria.

Common Signs of MS: Identifying Lhermitte’s Sign and More

Throughout the examination, I’ll look for common signs of MS, such as Lhermitte’s sign, which is characterized by a sudden electric shock-like sensation that runs down the spine. Recognizing these signs can aid in making a more accurate diagnosis.

Understanding MS Lesions: Diagnostic Implications

MS lesions can vary in appearance and location. Understanding these lesions is essential, as they provide key insights into the progression of the disease and your treatment options.

Addressing Common Concerns and Misconceptions

Finally, it’s important to address any concerns or misconceptions you may have about the neurological examination process. I want you to feel informed and empowered as we navigate this journey together.

Ruling Out Other Conditions: Why it Matters

It’s essential to rule out other conditions that may mimic MS symptoms. This comprehensive approach ensures that we’re focusing on the right diagnosis and treatment plan for you.

Pediatric and Primary Progressive MS: Variations in Examination

If you’re a parent or caregiver, it’s important to note that the examination may differ for children and individuals with primary progressive MS. Understanding these variations can help tailor the examination to better fit specific needs.

Recognizing Symptoms of MS: A Comprehensive Overview

Lastly, being able to recognize the symptoms of MS is crucial. Having a thorough understanding of what to look for can empower you to seek help earlier and improve your management of the condition.

Pro Tip

When preparing for your neurological examination, consider keeping a symptom diary for at least a week prior to your appointment. Documenting when symptoms occur, their intensity, and any triggers can provide your neurologist with valuable insights, leading to a more accurate diagnosis and tailored treatment plan.

Frequently Asked Questions About the Neurological Examination for MS

What is the purpose of a neurological examination for MS?
The neurological examination is essential for assessing neurological function, identifying abnormalities related to MS, and forming a basis for diagnosis and treatment planning.
How should I prepare for my neurological examination?
You should prepare by writing down your symptoms and concerns, bringing a list of current medications, and considering having a family member or friend accompany you for support. Open communication about your health history is vital.
What are the key components of a neurological examination for MS?
The examination typically includes a mental status assessment, cranial nerve check, motor and sensory skills evaluation, gait and balance assessment, and coordination tests.
What diagnostic tools are used in conjunction with the neurological examination?
Common diagnostic tools include MRI scans (to reveal lesions), evoked potentials (to test nerve responses), CSF analysis (via lumbar puncture), and nerve conduction studies (to assess neural function).
What are the McDonald criteria, and why are they important?
The McDonald criteria provide a framework for diagnosing MS by considering factors like the presence of lesions, symptom patterns, and diagnostic test results. They emphasize "dissemination in space and time" to ensure an accurate diagnosis.

Summarizing the Neurological Examination Process for MS

The neurological examination is a crucial step in diagnosing multiple sclerosis (MS) and understanding your health. As Dr. Evelyn Hartman, I’ve witnessed the profound impact that clarity and knowledge can have on patients. It's important to reflect on the examination process and what it means for your journey ahead. Here are some key takeaways to remember as you navigate this experience:

  • Understand the purpose: The examination is designed to assess neurological function and identify any abnormalities.
  • Be prepared: Discuss your symptoms openly, as this can guide the examination and subsequent testing.
  • Active participation: Engage with your neurologist, asking questions that help demystify the process.

These points will help you feel equipped and informed, laying a strong foundation for your ongoing care.

Next Steps After Your Examination: Preparing for Future Care

After your neurological examination, it’s time to think about the next steps in your care journey. This is where proactive engagement can make a significant difference. Here are essential actions to consider as you prepare:

  • Schedule a follow-up appointment: This allows for timely discussions about your examination results and potential treatment options.
  • Document your questions: Write down any queries that arise post-examination to ensure nothing is overlooked during your next visit.
  • Explore your treatment plan: Understanding your disease-modifying therapies (DMTs) is vital for effective management.

Taking these steps can empower you to play an active role in your health management. Remember, communication with your neurologist is key!

How to Follow Up with Your Neurologist: Questions to Ask

When it comes to following up with your neurologist, having the right questions prepared can lead to more productive discussions. Here are some vital questions I recommend:

  • What were the results of my neurological examination?
  • What diagnostic tests should I expect next?
  • How do my symptoms align with potential diagnoses?
  • What are the recommended treatment options moving forward?

Asking these questions can deepen your understanding and help you feel more in control of your healthcare journey.

Utilizing Telehealth: Adjusting to Modern Examination Practices

In recent years, telehealth has become an invaluable tool in healthcare, particularly for individuals with MS. It offers a convenient way to connect with your healthcare provider without the hassle of travel. Here are some benefits of utilizing telehealth:

  • Flexibility in scheduling appointments: No need to rearrange your entire day for a visit!
  • Access to specialists: You can connect with neurologists who may not be available locally.
  • Continuity of care: Regular check-ins can be easily maintained, promoting better management of your symptoms.

As we adapt to this evolving landscape, embracing telehealth can enhance your care experience.

Engagement and Resources to Support Your Journey

Your journey with MS can be challenging, but you don’t have to navigate it alone. At Symptoms of MS, we are dedicated to providing resources to support you every step of the way. Here are some valuable tools and resources to consider:

Interactive Checklists and Tools to Help You Prepare

Using checklists can streamline your preparation for medical appointments. Here’s what to include:

  • List of symptoms and their frequency
  • Current medications and dosages
  • Questions you want to ask your neurologist

These tools can help ensure you cover all necessary topics during your visits!

Doctor and patient engaged in a telehealth consultation for Multiple Sclerosis management

Videos and Visual Aids: Enhancing Understanding of the Exam Process

Visual aids can demystify complex topics related to MS. At Symptoms of MS, we provide:

  • Informative videos explaining the examination process
  • Visual summaries of common symptoms and their implications
  • Guidance on what to expect during diagnostic tests

These resources empower you to understand your condition better and engage effectively in your care.

Patient Education on MS: Resources for Better Management

Ongoing education is vital for managing MS effectively. Here are some resources to explore:

  • Webinars featuring expert insights on MS management
  • Articles covering the latest research and treatment options
  • Support groups where you can connect with others facing similar challenges

Staying informed can be a powerful tool in your journey toward better health.

Exploring Treatment Plans: Understanding Disease Modifying Therapies (DMTs)

DMTs play a crucial role in managing MS. Here’s what you should know as you explore your options:

  • Types of DMTs available and their intended effects
  • Potential side effects and how they can be managed
  • Regular monitoring and follow-up for optimal outcomes

Understanding your treatment plan is essential to navigating MS confidently and effectively.

Recap of Key Points

Here is a quick recap of the important points discussed in the article:

  • The neurological examination is essential for diagnosing multiple sclerosis (MS) and assessing overall neurological health.
  • Preparing for the examination by discussing symptoms and bringing necessary documents can enhance the experience and outcomes.
  • Key components of the examination include mental status assessment, cranial nerve evaluation, and gait analysis, each providing valuable insights into neurological function.
  • Utilizing diagnostic tools such as MRI, evoked potentials, and CSF analysis is crucial for understanding the extent of MS.
  • Active participation in the examination process, including asking questions, helps demystify the journey and fosters better communication with healthcare providers.
  • Post-examination steps, including scheduling follow-ups and documenting questions, are vital for continued care and treatment planning.
Mimicking MS: Challenges and Clarity Challenges and Misdiagnoses: Conditions That Mimic MS and How They Are Ruled Out What if the symptoms you're experiencing could point to multiple conditions, not just multiple scler
Caregiver Insights on MS Support Caregiver Perspectives: Stories from Those Supporting Loved Ones with MS As a caregiver for someone with multiple sclerosis (MS), you're navigating a journey filled with bot
Neurologist Insights on MS Care Plans How Neurologist-Reviewed Care Plans Improve Treatment Outcomes in MS What if a personalized care plan could drastically improve your management of multiple sclerosis? Ta

Recommended

MS and Employment: Personal Accounts of Work Challenges and Solutions

Living with MS and Work

What if you could turn the challenges of living with multiple sclerosis into opportunities for growth and understanding in the workplace? Many individuals face hurdles that can impact their profession …

Subscribe & Share