MRI Insights for Multiple Sclerosis

MRI and Multiple Sclerosis: Role, Procedure, and What to Expect

What if understanding your MRI results could change the way you perceive your treatment journey? The role of MRI in diagnosing multiple sclerosis (MS) goes beyond imaging; it is a key element that empowers patients and healthcare professionals alike. Let's explore the crucial insights that can help you or a loved one navigate this challenging condition.

What You Will Learn

  • Lesion Detection: MRI is the primary tool for identifying lesions caused by MS, crucial for accurate diagnosis.
  • High Sensitivity: MRI can detect changes that other imaging techniques may miss, enhancing the diagnostic process.
  • Integrated Approach: Combining MRI results with clinical symptoms and CSF analysis increases diagnostic accuracy.
  • Continuous Monitoring: Regular MRIs are essential for tracking disease progression and treatment effectiveness.

The Essential Role of MRI in MS Diagnosis and Management

Magnetic Resonance Imaging (MRI) is a cornerstone in diagnosing and monitoring Multiple Sclerosis (MS). It helps identify lesions in the brain and spinal cord, track disease progression, and guide treatment decisions. Below, we highlight key aspects of how MRI contributes to a comprehensive approach to MS care.

MRI's Core Function in MS

MRI detects lesions—damaged areas in the nervous system—that are characteristic of MS. It helps distinguish MS from other conditions like migraines or stroke.

  • High Sensitivity for subtle changes.
  • Lesion characteristics guide diagnosis.

Integrated Diagnosis Approach

MRI findings are combined with clinical symptoms and cerebrospinal fluid (CSF) analysis (e.g., oligoclonal bands) for enhanced diagnostic accuracy.

  • Fatigue, numbness, balance issues.
  • CSF analysis for specific markers.

Importance in Monitoring MS

Regular MRIs help monitor disease progression, assess treatment effectiveness, and provide clarity for patients and their families.

  • Tailored treatment plans.
  • Monitoring therapy effectiveness.

Key Takeaways for Patients

  • Lesion Detection: Primary tool for identifying MS lesions.
  • Preparation Matters: Reduces anxiety during the procedure.
  • Continuous Monitoring: Regular MRIs track changes over time.
  • Results Interpretation: Crucial for effective condition management.

Understanding the Role of MRI in Multiple Sclerosis Diagnosis

When it comes to diagnosing multiple sclerosis (MS), magnetic resonance imaging (MRI) plays a crucial role. It allows us to visualize changes in the brain and spinal cord that are characteristic of MS. Have you ever wondered how this technology works and why it’s so essential? Understanding the mechanics behind MRI can help demystify the diagnosis process and provide clarity as you navigate your journey with MS.

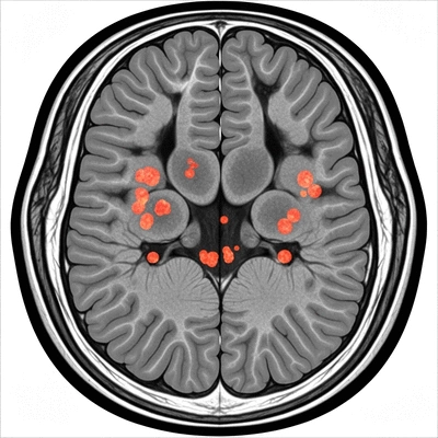
In the context of MS, an MRI detects lesions—areas of damage in the nervous system. These lesions occur due to the immune system mistakenly attacking the protective covering of nerves, known as myelin. By identifying these lesions, neurologists can distinguish MS from other conditions with similar symptoms, such as migraines or stroke. Research, such as that published in Nature Communications, consistently highlights the advanced capabilities of MRI in detecting these subtle changes early on.

Detailed MRI scan of a brain highlighting MS lesions

How MRI Detects MS Lesions and Differentiates Conditions

An MRI utilizes strong magnetic fields and radio waves to create detailed images of the brain and spinal cord. But what makes it particularly effective in diagnosing MS? Here are some critical aspects:

  • High Sensitivity: MRI is very sensitive to changes in the brain and can detect lesions that may not be visible through other imaging techniques.
  • Lesion Characteristics: The appearance, size, and location of lesions can provide insight into whether MS is present.
  • Follow-Up Capability: MRIs can be repeated over time to monitor changes in lesions, which is important for assessing disease progression.

By analyzing these factors, neurologists can better differentiate MS from other neurological disorders. It’s a powerful tool in ensuring you receive the correct diagnosis and appropriate treatment. Further insights into MRI's diagnostic precision can be found in publications like Neurology, which often detail advanced imaging techniques and their impact on early diagnosis.

Integrating MRI with Clinical Symptoms and CSF Findings

While MRI is a key diagnostic tool, it’s most effective when combined with clinical symptoms and findings from cerebrospinal fluid (CSF) analysis. This integrated approach enhances diagnostic accuracy. Common clinical symptoms of MS include:

  • Fatigue
  • Numbness or tingling
  • Difficulty walking or maintaining balance

In addition, analyzing CSF can reveal oligoclonal bands, which are often present in individuals with MS. Together, these elements create a comprehensive picture, allowing for a more confident diagnosis. The significance of this integrated approach is frequently discussed in leading journals like Brain, emphasizing how multi-modal data improves diagnostic certainty.

The Importance of Neuroimaging in Diagnosing Multiple Sclerosis

Neuroimaging, particularly through MRI, is fundamental in diagnosing MS. It not only confirms the presence of lesions but also helps establish the timing of symptom onset and the pattern of disease progression. This information is critical for:

  • Establishing a treatment plan tailored to individual needs
  • Monitoring the effectiveness of therapy over time
  • Providing reassurance and clarity to patients and their families

As a neurologist, I have seen firsthand how these images can empower patients by providing clear evidence of their condition. My goal at Symptoms of MS is to ensure you feel informed and supported every step of the way!

We Want to Hear From You!

As you consider the role of MRI in your diagnosis and management of multiple sclerosis, we’d love to hear your thoughts. What aspect of MRI do you find most intriguing or concerning? Share your insights below:

Summarizing the Importance of MRI in Managing Multiple Sclerosis

As we’ve explored, MRI plays a pivotal role in the diagnosis and management of multiple sclerosis (MS). It provides essential insights into the presence of lesions, which are critical for confirming an MS diagnosis. Understanding how MRI works can empower you as a patient to engage more effectively with your healthcare team.

In summary, the key points about MRI in the context of MS include its ability to detect lesions, its integration with clinical evaluations, and its ongoing role in treatment monitoring. Armed with this knowledge, you can feel more informed and confident as you navigate your MS journey.

Patient discussing MRI results with a neurologist

Key Takeaways on MRI Procedures and Patient Expectations

  • Lesion Detection: MRI is the primary tool for identifying lesions caused by MS.
  • Preparation Matters: Knowing what to expect during your MRI can alleviate anxiety.
  • Results Interpretation: Understanding your results is crucial for effective management of your condition.
  • Continuous Monitoring: Regular MRIs can help track changes in your MS over time.

These takeaways highlight the importance of being proactive about your health. Remember, being informed can lead to better decision-making and more effective communication with your neurologist.

Encouraging Informed Decisions: Your Next Steps After an MRI

After your MRI, it’s essential to take the next steps with confidence. Understanding the implications of your scan is crucial for your ongoing care. As a neurologist, I encourage you to be an active participant in your health journey.

Being proactive after your MRI can significantly enhance your understanding of MS and your treatment options. Here’s what you can do next:

Resources for Patients: Understanding MRI and MS

These resources can help you navigate the complexities of MS and provide valuable information that can enhance your understanding of your condition.

Frequently Asked Questions About MRI and Multiple Sclerosis

  • What does an MRI show in the context of MS? MRIs primarily reveal lesions (areas of damage) in the brain and spinal cord that are characteristic of MS, helping neurologists diagnose and monitor the disease.
  • How often should I get an MRI for MS monitoring? The frequency of MRI scans depends on your specific case, including your diagnosis, treatment plan, and disease activity. Regular monitoring is often recommended by your neurologist to track progression and treatment effectiveness.
  • Can MRI results influence my MS treatment decisions? Yes, MRI imaging results are crucial for guiding treatment adjustments and management plans. They help your healthcare team assess the effectiveness of current therapies and determine if changes are needed to better manage your condition.
  • Is MRI the only diagnostic tool for MS? While MRI is a cornerstone in diagnosing MS due to its high sensitivity in detecting lesions, it is most effective when combined with clinical symptoms and findings from cerebrospinal fluid (CSF) analysis for a comprehensive and accurate diagnosis.
  • What should I expect during an MRI procedure for MS? During an MRI, you will lie on a table that slides into a large, tube-shaped scanner. The machine uses strong magnets and radio waves to create detailed images. It's a non-invasive procedure, but it can be noisy. Preparation, such as discussing any anxieties with your doctor, can help make the experience smoother.

Patient Experiences: What Others Have Learned from Their MRI Journeys

Hearing from others who’ve faced similar challenges can be incredibly reassuring. Many patients have shared their journeys with MRI, highlighting key lessons and encouragement. Here are some insights:

  • Patience is Key: Many patients found that understanding their results took time and discussion with their healthcare team.
  • Support Systems Matter: Connecting with others living with MS can provide emotional support and valuable tips.
  • Stay Engaged: Patients who actively participated in their care felt more in control and empowered during their treatment journey.

By sharing these experiences, we can foster a supportive community around MS, making the journey a bit easier for everyone involved.

Recap of Key Points

Here is a quick recap of the important points discussed in the article:

  • Lesion Detection: MRI is the primary tool for identifying lesions caused by multiple sclerosis (MS).
  • High Sensitivity: MRI is extremely sensitive to changes in the brain, detecting lesions that may not be visible through other methods.
  • Integrated Approach: Combining MRI results with clinical symptoms and CSF analysis enhances diagnostic accuracy.
  • Ongoing Monitoring: Regular MRIs help track changes in lesions and assess disease progression over time.
  • Patient Empowerment: Understanding MRI processes and results empowers patients to engage actively in their health journey.
Life Beyond Diagnosis: Patient Stories Transitioning to a New Normal: Patient Stories of Life Beyond Diagnosis When facing a cancer diagnosis, the emotional journey can feel isolating and overwhelming. But under
AI's Role in MS Care How AI and Technology Are Transforming MS Treatment and Patient Monitoring in 2025 In a world where technology meets healthcare, the integration of AI into multiple sclerosis (MS) tre
New MS Diagnosis Criteria and Tech Latest Advances in MS Diagnostic Criteria and Technology (2025 Update) As we approach the 2025 updates on multiple sclerosis diagnostic criteria, a significant transformat

Recommended

How Lifestyle Changes Complement Medical Treatments for Multiple Sclerosis

Enhancing MS Care Through Lifestyle

Have you ever considered how small changes in your daily routine could empower you to manage your health better? When it comes to living with multiple sclerosis (MS), adopting effective lifestyle modi …

Subscribe & Share